Libertad sexual y su estudio forense
- DESFLORACION ANTIGUA: SE OBSERVA A HORAS IV UNA DISCONTINUIDAD DE LA MEMBRANA DEL HIMEN QUE COMPROMETE TODO SU ESPESOR, NO PRESENTANDO SIGNOS DE LESIÓN AGUDA.
- DESFLORACION RECIENTE: SE ADVIERTEN EQUIMOSIS EN LA MEMBRANA DEL HIMEN A HORAS III,V,VII, VIII. ASIMISMO UN DESGARRO PARCIAL DE LA MEMBRANA A HORAS III.
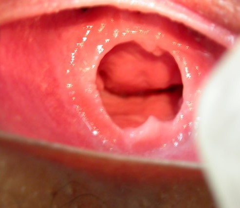
- HIMEN DE TIPO ANULAR. NOTESE EL ORIFICIO DEL HIMEN DE FORMA CIRCULAR Y DE POSICION CENTRAL EN LA MEMBRANA, CON BORDES REGULARES.
- HIMEN INTEGRO QUE PRESENTA ESCOTADURAS ANATOMICA CONGÉNITAS A HORAS III Y IX HORAS SEGÚN MANECILLAS DEL RELOJ.
- SE APRECIA AL EXAMEN RADIOGRAFICO PRESENCIA DE CUERPO EXTRAÑO (BOTELLA VIDRIO) EN REGION RECTAL Y COLON SIGMOIDES.
- LA VAGINALIZACION DEL ANO SE GENERA COMO CONSECUENCIA DEL USO REITERADO PARA LA PENETRACION REGULAR, SE FORMA COMO UN OJAL ANTERO POSTERIOR,ES UN ALARGAMIENTO DEL ANO, DE LO QUE ERA CIRCULAR PASA A SER OVALADO
- ESTA DESFLORACION ES ATIPICA PORQUE ES LATERAL, CON FRECUENCIA LOS DESGAROS SON HACIA LAS ZONAS ANTERIORES O POSTERIORES, EN DECIR, AL REDEDOR DE LAS DOCE O DE LAS SEIS SI IMAGINAMOS UN RELOJ ANALOGICO EN LA OBSERVACION HIMENEAL EN POSICION GINECOLOGICA(FORMA REGULAR DE INSPECCION A LAS MUJERES POR LOS MEDICOS)
- LA DESFLORACIONES PUEDEN ESTAR EN SU ETAPA RECIENTE, RECIENTE EN EVOLUCION O ANTIGUA ( ENTIENDASE MAS DE 10 DIAS) EN ESTA FOTO SE OBSERVA UNA DESFLORACION ANTIGUA
- ES UNA EQUIMOSIS EN EVOLUCION POR TRAUMA EN USO SEXUAL DEL ANO, YA SE HA REPARADO LA EPIDERMIS, ES DECIR ESTA EN RESOLUCION LA INFILTRACION HEMATICA DEL TRAUMA PERIANAL. LA AUSENCIA DE LESION ANAL NO ES EVIDENCIA DE INEXISTENCIA DE RELACION SEXUAL ANAL. SOLO SE ENCUENTRA EVIDENCIA DE TRAUMA EN LOS CASOS QUE HAY CIERTA VIOLENCIA,EN LA MAYORIA DE RELACIONES SEXUALES ANALES CONSENTIDAS Y ACOSTUMBRADAS NO HAY EVIENCIA DE LESIONES RECIENTES, Y EN POCOS CASOS HAY UNA DEFORMACION DEL ANO
- ACTO CONTRANATURA RECIENTE: SE APRECIA UN ORIFICIO ANAL QUE HA PERDIDO SU FORMA ANATOMICA, CON TUMEFACCION Y EQUIMOSIS DE PLIEGUES PERIANALES, PRESENCIA DE HEMATOMA A HORAS XI-XII, FISURA ANAL A HORAS VI.
- ACTO CONTRANATURA ANTIGUO + LESIONES RECIENTES: SE EVIDENCIA EL ORIFICIO ANAL DILATADO (HIPOTONIA), CON BORRAMIENTO DE PLIEGUES PERIANALES. SE OBSERVA TUMEFACCION DE LOS PLIEGUES PERIANALES A HORAS VI CON EQUIMOSIS VIOLACEA Y PRESENCIA DE FISURAS A NIVEL DE PLIEGUES A HORAS VI.
- ACTO CONTRANATURA ANTIGUO + LESIONES RECIENTES: SE EVIDENCIA EL ORIFICIO ANAL DILATADO (HIPOTONIA), CON BORRAMIENTO DE PLIEGUES PERIANALES. SE OBSERVA TUMEFACCION DE LOS PLIEGUES PERIANALES A HORAS VI CON EQUIMOSIS VIOLACEA Y PRESENCIA DE FISURAS A NIVEL DE PLIEGUES A HORAS VI.
- HIMEN DE ORLA ESTRECHA Y ORIFICIO AMPLIO (HIMEN DILATADO) QUE PRESENTA LESIONES EN SU PARED DE HORAS VII A HORAS XI.
- SE APRECIA LESIONES EXCORIATIVAS (UÑA HUMANA) A NIVEL DEL FOSA NAVICULAR Y HORQUILLA VULVAR POSTERIOR DE UN MENOR DE EDAD.
- HIMEN DE ORIFICIO AMPLIO Y PAREDES ELASTICAS (HIMEN DILATABLE).
- SE APRECIA REZAGOS DE MENBRANA HIMENEAL LUEGO DE UN PARTO VAGINAL (CARUNCULAS MIRTIFORMES).
- CONDILOMAS ACUMINADOS EN LABIOS MENORES Y MAYORES, SE CONSIDERA UNA INFECCION DE TRASMISION SEXUAL.
- EQUIMOSIS POR SUCCION EN UNA MENOR EN LA REGION LATERAL IZQUIERDA DE CUELLO Y REGION PECTORAL IZQUIERDA.

















